- 我的门票
- 我的展会
- 我的行业
- 网站地图
- 登录/注册
【展商动态】Bioclear™黑三角产品——来自3M树脂修复邻面处理解决方案
新品上市
黑三角的Bioclear™充填技术
Bioclear™由3M口腔护理产品部提供支持,是您梦寐以求的理想解决方案,帮助您在处理黑三角问题时降低不确定性。
无论患者在正畸还是自然牙龈萎缩后出现问题,五步Bioclear™充填技术将帮助您以可预测的方式填充这些空间。
✦ +
+
去除菌斑生物膜
清洁的齿面可提高粘附力
✦ +
+
牙体预备
几乎不需要牙体预备
✦ +
+
成形片放置
· 预塑形的透明成形片符合天然牙邻面解剖形态
· 彩色编码系统可轻松选择正确的成形片
✦ +
+
注塑成型
使用光固化复合树脂3M™ Filtek™ Z350 XT Universal Restorative和流动树脂3M™ Filtek™ Z350 XT Flowable Restorative的充填方案
✦ +
+
塑形和抛光
适当的表面处理和抛光有助于防止变色
左右滑动查看
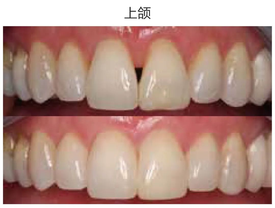
图片由Charles Regalado博士提供
使用3M™ Filtek™口腔修复材料
和Bioclear™充填技术进行修复
Bioclear™“黑三角”系列产品
Step.1
使用“黑三角”成形片测量尺进行测量,然后选择对应颜色的成形片。
Step.2
将Bioclear™成形片放入齿间和龈下。
通用粘接剂
Single Bond Universal Adhesive
Step.3
使用通用粘接剂 Single Bond Universal Adhesive。
流动树脂
3M™ Filtek™ Z350 XT Flowable Restorative
Step.4
沿着牙边缘向切端注入流动树脂3M™ Filtek™ Z350 XT Flowable Restorative。
光固化复合树脂
3M™ Filtek™ Z350XT Universal Restorative
Step.5
将光固化复合树脂3M™ Filtek™ Z350 XT Universal Restorative注入未固化的流动树脂中,直到填满成形片。
LED光固化机
3M™ Elipar™ DeepCure-S
Step.6
在唇侧和舌侧进行光固化。
Step.7
移除成形片。
打磨抛光组件 Sof-Lex™
Step.8
使用打磨抛光组件Sof-Lex™抛光碟对牙齿进行打磨。
欢迎莅临3M展台
1楼1号馆 J07-10,J38-41
了解更多产品信息
参考资料:
DenTech China举办地址:上海市浦东新区国展路1099号
举办展馆:1/2/4馆
展览面积:50000㎡
观众数量:115000
口腔牙科行业资讯
2025-10-29 10:26:2060













